¡Tu carrito está actualmente vacío!
Caso clínico-Ecografía Abdominal
Granuloma ureteral en un gato
Gato común europeo hembra esterilizada de 3 años de edad.
Motivo de la consulta: hiporexia y periuria.
Pruebas laboratoriales: analíticas sanguíneas sin cambios. En analítica de orina, se observa abundantes bacilos intracelulares.
Ecografía abdominal:
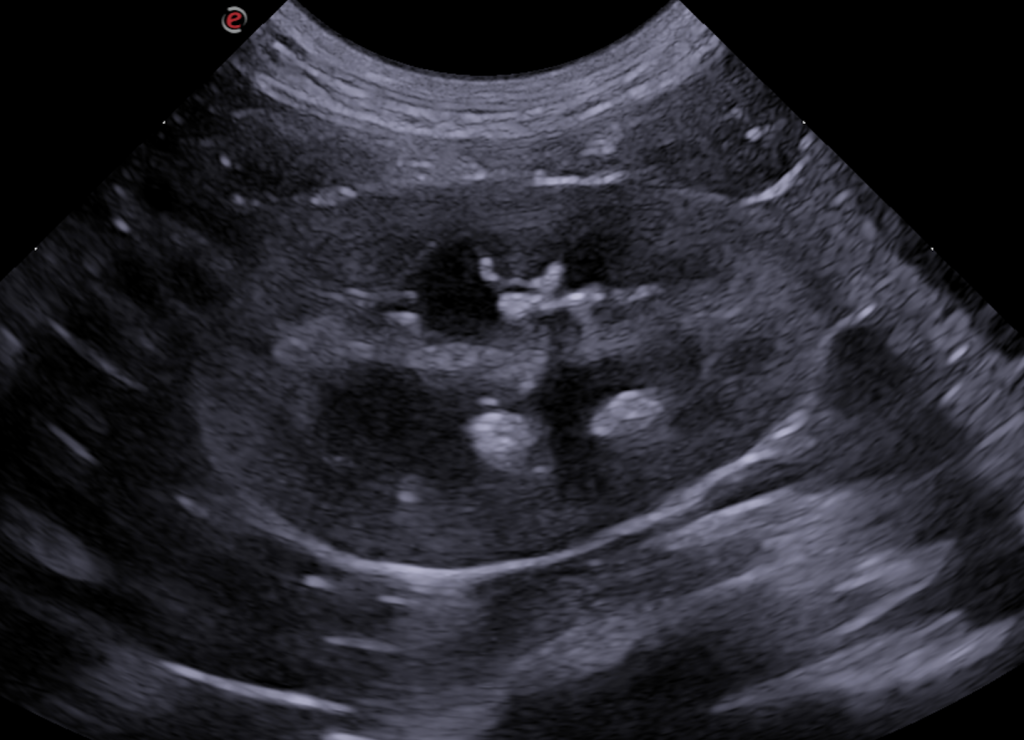
- Ambos riñones presentan estructuras redondeadas, de 1-4 mm, con superficie hiperecogénica y sombra acústica distal asociada (cálculo), en los divertículos renales. Se observa una mínima distensión de la pelvis renal (2 mm)
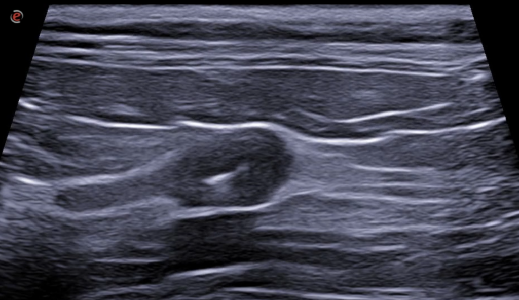
- El ureter izquierdo está ligeramente distendido y presenta en todo su recorrido la pared engrosada, observándose aproximadamente a 4 cm de su inicio, una engrosamiento marcado de su pared de forma concéntrica y circunferencial, observándose una pared hipoecogénica de 2 mm de grosor. En su interior, hay una estructura similar a la descrito en ambos riñones (cálculo), de 1.7 mm de diámetro. El ureter distalmente disminuye abruptamente de tamaño y se continúa de forma normal hasta la unión ureterovesical. El peritoneo de alrededor del ureter se aprecia hiperecogénico en todo su recorrido.
- En la vejiga urinaria, se observó material ecogénico suspendido.


- El diagnóstico más probable fue una obstrucción ureteral parcial o crónica asociada a una cálculo, con formación de un granuloma ureteral asociado a una estrechez.
- El cultivo urinario fue positivo a E.coli.
- Se optó inicialmente por manejo médico, pero al mes, debido a que la lesión se encontraba estática y hubo un ligero empeoramiento clínico, se optó por posicionar un dispositivo SUB.



Deja una respuesta